How Do I Clean and Care for My Invisalign Aligners?

Invisalign® treatment owes its popularity partly because the aligners can easily be removed. This means that patients at our Cary, NC, dental office need to care for the aligners properly. If you think you can simply rinse them with water and go about your day, think again.
In this article, we’ll go over Invisalign cleaning and care tips that will help you get the most out of your treatment. Keep in mind that if you're already wearing a clear retainer, these instructions will still apply.
How Should I Clean My Aligners?
Like your natural teeth, your Invisalign aligners will collect food particles and plaque throughout the day, so it's incredibly important to thoroughly clean them.
Why You Should Not Use Toothpaste to Clean Your Aligners
While it seems like toothpaste is ideal for cleaning aligners, we actually don't recommend it. Many toothpastes contain abrasive ingredients that could scratch and damage the tray material.
Instead of toothpaste, you have a few better options.
Cleaning Aligners with Hand Soap
You don't have to look further than the edge of the sink for a great alternative.
Using a manual (not electric!) toothbrush, work a small amount of soap into a lather to clean the trays. Steer clear of heavily scented products that could unintentionally scent and flavor the plastic.
Cleaning Aligners with White Vinegar
If you notice a build-up of debris on the aligners, you'll need to step up your game.
- First, dilute white vinegar using a 1-to-3 ratio and then soak the Invisalign trays in the solution for about 15 minutes.
- Again, use a manual toothbrush to gently clear any loosened residue.
- Soak the tray in plain water for several minutes afterward to clean any residual taste and smell from the vinegar.
Invisalign Cleaning Products
Some of our Cary patients choose to purchase products that are specifically intended for cleaning clear aligners. Invisalign offers a cleaning system (which includes a tub for soaking), cleaning crystals, and a cleansing foam.
Regardless of which route you go, use cool or room-temperature water to clean the trays. Hot water could warp and damage the plastic material.
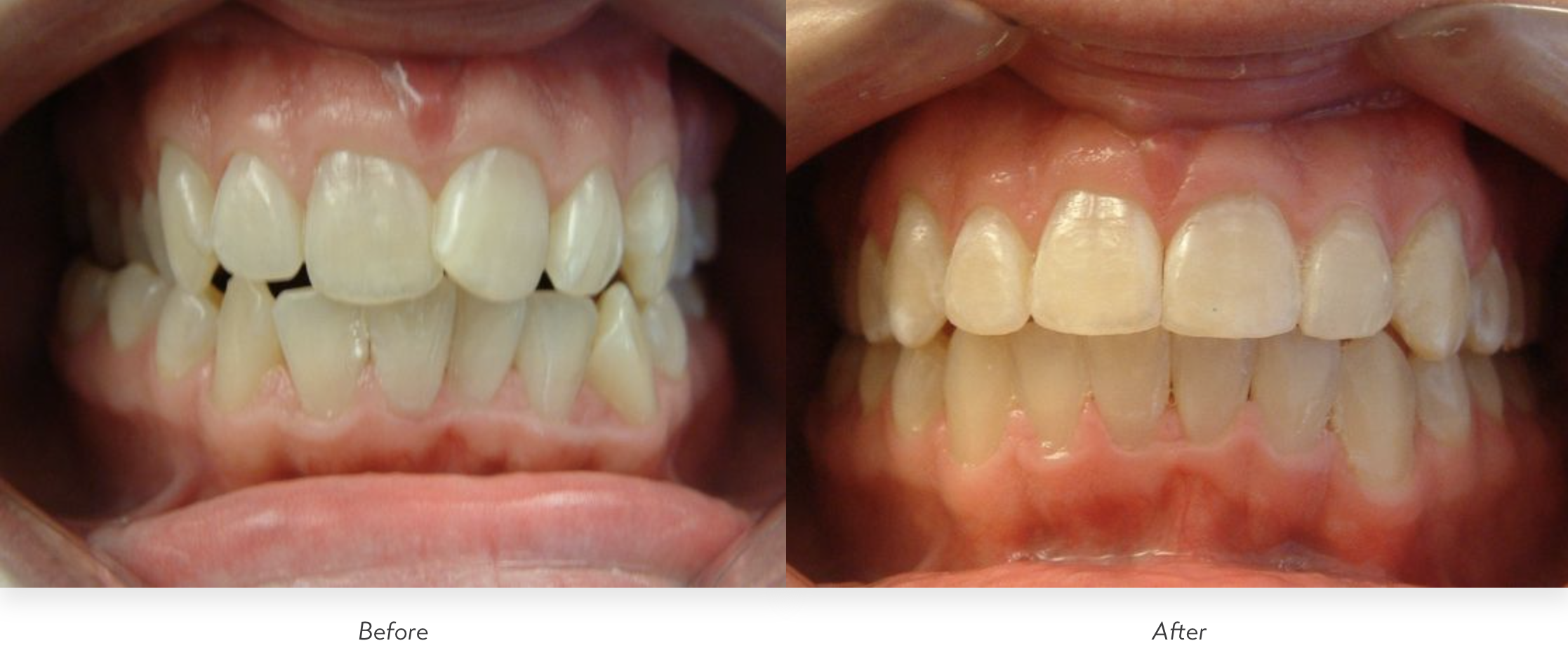
You Can Achieve Stunning Results Like Our Patient

How Often Should I Clean My Clear Aligners?
You should clean your aligners at least once a day. If you brush twice a day (and we're really hoping you do!), it's a good habit to cleanse the trays at the same time.
For daily cleaning, stick to the Invisalign cleaning system products or hand soap. Save vinegar soaks for less frequent deep cleans.
What Should I Avoid When My Aligners Are in My Mouth?
We understand that wearing your aligners for 20-22 hours a day may seem like a tall order. Between taking them out for meals and snacks, you may already be worrying about how you're going to hit that goal. And what about your favorite drinks?
We've answered many of these questions at our Cary dental office. Let's cover three common ones.
"Can I Drink Any Beverages While Wearing My Invisalign Aligners?"
The only beverage we recommend our patients consume while wearing their Invisalign aligners is cool water.
If you're the type of person who drinks hot water on its own to warm up or soothe a sore throat, you'll need to take out the trays first. As we touched on during the cleaning care tips, the plastic can become warped if it's exposed to hot temperatures.
Lastly, stay away from sparkling water as this could potentially damage both your teeth and the trays. If you're wondering what the big deal is, the risks are generally two-fold:
- Sugary drinks that become trapped in the aligners could be held against your teeth for longer than they normally would. This will increase your risk of decay and cavities.
- Secondly, even weak unsweetened iced tea or a similar drink could stain and discolor your aligners. If you chose Invisalign because it's discreet, you probably don't want to engage in bad habits that could make your trays more noticeable.
A parting tip: even if you use a straw, these drinks will still come into contact with your Invisalign trays and your natural teeth.
"Can I Smoke or Chew Tobacco While Wearing My Invisalign Aligners?"
If you smoke or use chewing tobacco, now is the best time to quit. A properly aligned smile will look healthier but it can be marred by staining, just like your trays.
If you're having trouble kicking the habit and still want to begin Invisalign treatment, make sure to take the trays out when you smoke or chew. Otherwise, they'll quickly become stained and take on a yellow or brown tinge.
"Can I Chew Gum While Wearing My Invisalign Aligners?"
Many types of gum contain sugar that could harm your oral health, but the obvious concern (for sugar-free varieties as well) is that the gum can become stuck to the plastic.
If you reach for gum throughout the day, consider hard candies or mints instead that contain xylitol–a sugar-free alternative.
What If My Aligners Become Stained?
Did you sneak some red wine or coffee wearing your trays? Maybe you had some mints containing menthol, which can result in discoloration.
If the damage has already been done, we've got you covered.
Sometimes an antibacterial hand soap and thorough brushing are sufficient. The diluted white vinegar solution can help too, or you might also want to try hydrogen peroxide. Once you've combined one part water with one part hydrogen peroxide, soak your aligners for 20 minutes and rinse.

Protect Your Trays in a Hard Plastic Case
When you remove your Invisalign trays, it can be tempting to set them on a napkin (potentially grossing out your fellow diners) or slip them into your pocket. When you begin treatment at our Cary office, we'll provide you with a hard protective case for just this type of situation.
Get in the habit of placing your trays in their case. This protects the aligners and can also reduce the chance you'll accidentally forget them or throw them away.
Remember: if you require more trays than your original treatment plan called for at our Cary office, it will increase the treatment cost as well as how long it will take to achieve your results.
Learn More in an Invisalign Consultation
Whether you're considering straightening your smile or you've already begun, we'd love to see you at our Cary office. To learn more about Invisalign do's and don'ts, who makes a good candidate, and more, reach out to us today and request a consultation.

About Jeffrey S. Kearney, DDS
A dentist since 1992, Dr. Jeffrey Kearney has extensive training in TMJ and sleep-breathing disorders. He is a member of the Academy of General Dentistry and a fellow of the American Academy of Craniofacial Pain and the International Congress of Oral Implantologists.
Read Dr. Kearney's Full Bio | All Posts by Jeffrey Kearney

